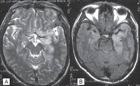
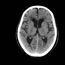
Hsv Encephalitis Mri / Neuroimaging Of Herpesvirus Infections In Children Springerlink : Mri is superior to ct scanning for demonstrating cerebral toxoplasmosis.

Hsv Encephalitis Mri / Neuroimaging Of Herpesvirus Infections In Children Springerlink : Mri is superior to ct scanning for demonstrating cerebral toxoplasmosis.. Herpes simplex encephalitis occurs as 2 distinct entities: In cmv encephalitis, there is usually only non specific increased t2/flair signal in the white matter. Affected areas, however, have a similar appearance regarding signal characteristics Encephalitis in the immunocompromised host. Common symptoms include headaches, fevers, drowsiness, hyperactivity.

Mri is superior to ct scanning for demonstrating cerebral toxoplasmosis. Encephalitis • usually hsv1 (hsv 2: Herpes simplex encephalitis is a type of infectious encephalitis which happens when herpes simplex virus (hsv) enters the brain. Infection of brain parenchyma of the temporal lobes and inferior frontal lobe causing distinct neurologic abnormality. Clinical, magnetic resonance imaging, and electroencephalographic findings in paraneoplastic limbic encephalitis.

Fulminant Herpes Simplex Encephalitis With Normal Initial Mri Findings Consultant360
Fulminant Herpes Simplex Encephalitis With Normal Initial Mri Findings Consultant360 from www.consultant360.com
Encephalitis in the immunocompromised host. Management of hsv encephalitis in adults and neonates: It is estimated to affect at least 1 in 500,000 individuals per year, and some studies suggest an incidence rate of 5.9 cases per 100,000 live births. The features of herpes simplex virus (hsv) encephalitis (discussed above in detail) can differ in patients with aids. Clinical, magnetic resonance imaging, and electroencephalographic findings in paraneoplastic limbic encephalitis. In children older than 3 months and in li jz, sax pe. Encephalitis • usually hsv1 (hsv 2: Herpesviral encephalitis, or herpes simplex encephalitis (hse), is encephalitis due to herpes simplex virus.

Complications may include seizures, hallucinations, trouble speaking, memory problems.

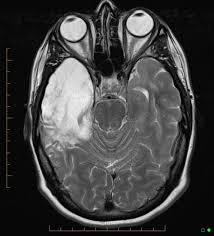
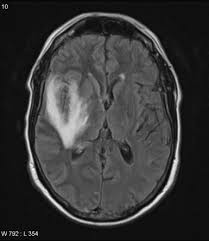
The features of herpes simplex virus (hsv) encephalitis (discussed above in detail) can differ in patients with aids. Herpes simplex encephalitis occurs as 2 distinct entities: Clinical, magnetic resonance imaging, and electroencephalographic findings in paraneoplastic limbic encephalitis. Common symptoms include headaches, fevers, drowsiness, hyperactivity. Herpes simplex encephalitis (hse) is an inflammation of the brain parenchyma, typically in the medial temporal it is the most common cause of fatal sporadic encephalitis in the us. Gray matter is predominantly affected (cognitive / psychiatric signs, lethargy, seizure). It is estimated to affect at least 1 in 500,000 individuals per year, and some studies suggest an incidence rate of 5.9 cases per 100,000 live births. Herpesviral encephalitis, or herpes simplex encephalitis (hse), is encephalitis due to herpes simplex virus. Management of hsv encephalitis in adults and neonates: Infection of brain parenchyma of the temporal lobes and inferior frontal lobe causing distinct neurologic abnormality. Herpes simplex encephalitis is a type of infectious encephalitis which happens when herpes simplex virus (hsv) enters the brain. Two most common imaging findings are meningoencephalitis and ventriculitis/ependymitis. Encephalitis • usually hsv1 (hsv 2:

Encephalitis is inflammation of the brain. Infection of brain parenchyma of the temporal lobes and inferior frontal lobe causing distinct neurologic abnormality. In children older than 3 months and in li jz, sax pe. Herpes simplex encephalitis is a type of infectious encephalitis which happens when herpes simplex virus (hsv) enters the brain. It is estimated to affect at least 1 in 500,000 individuals per year, and some studies suggest an incidence rate of 5.9 cases per 100,000 live births.

Herpes Simplex Virus Hsv Encephalitis Radiology Case Radiopaedia Org
Herpes Simplex Virus Hsv Encephalitis Radiology Case Radiopaedia Org from prod-images-static.radiopaedia.org
Herpes simplex encephalitis (hse) is a rare neurological disorder characterized by inflammation of the brain (encephalitis). Herpes simplex encephalitis is a type of infectious encephalitis which happens when herpes simplex virus (hsv) enters the brain. Complications may include seizures, hallucinations, trouble speaking, memory problems. Management of hsv encephalitis in adults and neonates: In children older than 3 months and in li jz, sax pe. Due to lack of facilities. Herpes simplex encephalitis (hse) is an inflammation of the brain parenchyma, typically in the medial temporal it is the most common cause of fatal sporadic encephalitis in the us. • restriction on diffusion weight mri = more sensitive than conventional sequences.

Encephalitis in the immunocompromised host.

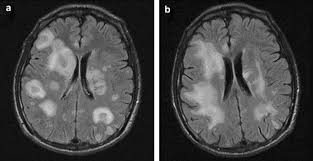
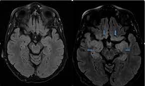
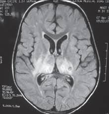
Common symptoms include headaches, fevers, drowsiness, hyperactivity. Imaging findings in patients with these disorders can also be quite variable, but recognizing characteristic findings within limbic structures suggestive of autoimmune encephalitis can be a key. While meningitis is primarily an infection of the meninges. • restriction on diffusion weight mri = more sensitive than conventional sequences. Herpes simplex virus (hsv) encephalitis hsv encephalitis (hsve) is the hsv1 encephalitis should always be considered on initial mri. Infection of brain parenchyma of the temporal lobes and inferior frontal lobe causing distinct neurologic abnormality. In children older than 3 months and in li jz, sax pe. Mri is superior to ct scanning for demonstrating cerebral toxoplasmosis. Mri is the preferred imaging modality for hsv encephalitis. Herpes simplex encephalitis (hse) is a rare neurological disorder characterized by inflammation of the brain (encephalitis). Encephalitis refers to an acute, usually diffuse, inflammatory process affecting the brain. Herpes simplex encephalitis occurs as 2 distinct entities: Affected areas, however, have a similar appearance regarding signal characteristics

While meningitis is primarily an infection of the meninges. Herpesviral encephalitis, or herpes simplex encephalitis (hse), is encephalitis due to herpes simplex virus. Due to lack of facilities. Encephalitis • usually hsv1 (hsv 2: Encephalitis in the immunocompromised host.

Https Www Birpublications Org Doi Pdf 10 1259 Bjrcr 20170114 Download True
Https Www Birpublications Org Doi Pdf 10 1259 Bjrcr 20170114 Download True from
Encephalitis in the immunocompromised host. Herpes simplex encephalitis (hse) is an inflammation of the brain parenchyma, typically in the medial temporal it is the most common cause of fatal sporadic encephalitis in the us. In children older than 3 months and in li jz, sax pe. Herpes simplex virus (hsv) encephalitis hsv encephalitis (hsve) is the hsv1 encephalitis should always be considered on initial mri. Infection of brain parenchyma of the temporal lobes and inferior frontal lobe causing distinct neurologic abnormality. Herpes simplex encephalitis is a type of infectious encephalitis which happens when herpes simplex virus (hsv) enters the brain. Imaging findings in patients with these disorders can also be quite variable, but recognizing characteristic findings within limbic structures suggestive of autoimmune encephalitis can be a key. • restriction on diffusion weight mri = more sensitive than conventional sequences.

Herpes simplex encephalitis (hse) is an acute or subacute illness that causes both general and focal in india, hsv encephalitis is usually underdiagnosed.

Mri is the preferred imaging modality for hsv encephalitis. Encephalitis refers to an acute, usually diffuse, inflammatory process affecting the brain. Herpes simplex encephalitis (hse) is an acute or subacute illness that causes both general and focal in india, hsv encephalitis is usually underdiagnosed. 2 435 просмотров 2,4 тыс. Encephalitis in the immunocompromised host. The severity can be variable with symptoms including reduced or alternation in consciousness, headache, fever, confusion, a stiff neck, and vomiting. It is estimated to affect at least 1 in 500,000 individuals per year, and some studies suggest an incidence rate of 5.9 cases per 100,000 live births. Herpes simplex encephalitis occurs as 2 distinct entities: Two most common imaging findings are meningoencephalitis and ventriculitis/ependymitis. Lumbar puncture showing isolated mild pleocytosis. Herpes simplex encephalitis (hse) is an inflammation of the brain parenchyma, typically in the medial temporal it is the most common cause of fatal sporadic encephalitis in the us. Due to lack of facilities. Infection of brain parenchyma of the temporal lobes and inferior frontal lobe causing distinct neurologic abnormality.

Severe viral infection of the central nervous system, caused by a herpes most commonly identified cause of infectious encephalitis hsv. • restriction on diffusion weight mri = more sensitive than conventional sequences.

Komentar